¿Cuáles son los principales síntomas de caries en los dientes?
Las caries dentales son una afección que desarrolla síntomas que no son fáciles de obviar

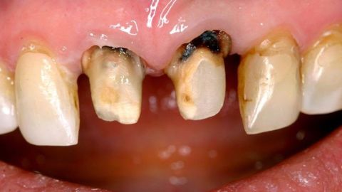
Crédito: Pixabay
Las caries puede ser una afección dental relativamente normal y frecuente, pero eso no indica que no haya que prestarles mucha atención cuando se presenten.
A continuación, hablaremos de 5 de los síntomas más importantes de las caries dentales, recomendado por mayoclinic.org, para que las puedas identificarlas con rapidez.
Molestia y dolor
Probablemente este es el síntoma más común y evidente de las caries. Las dolencias con una señal inequívoca de que hay un problema que debe atenderse, especialmente cuando el dolor persiste y aumenta. Si sientes molestia en al morder o a masticar, debes visitar un especialista.
Sensibilidad
Otro síntoma común de las caries. Si percibimos que nuestra sensibilidad dental se resiente al consumir alimentos fríos o calientes, puede que estemos en la antesala de las caries o hayamos desarrollado algún tipo de sensibilidad dental.
Halitosis
El mal aliento es un síntoma vinculado con las caries dentales. La halitosis puede estar provocada por bacterias que se acumulan en los dientes, que están también relacionadas con las caries.

Rotura o pérdida del diente
Las caries tienen una incidencia muy negativa sobre el esmalte, por lo que pueden hacer que el diente pierda consistencia y se quiebre al masticar con cierta dureza e intensidad.
Cambio de color del diente
El color de los dientes puede oscurecerse o tornarse amarillo por factores diversos, como el tabaquismo, pero puede ser también consecuencia del avance de una caries que se ubica en la pulpa y destruye los tejidos, generando cambios en la pigmentación dental.
Establecidos 5 de los síntomas principales de la caries, esperamos que esta información haya contribuido para que tengas más y mejor conocimiento sobre tu salud dental.