Una radiografía a una mujer sin síntomas descubre que tiene dañados los pulmones por coronavirus

Médicos están compartiendo radiografías y otras pruebas analíticas, ya que determinados hallazgos podrían conducir a un diagnóstico más rápido y ayudar a prevenir infecciones.

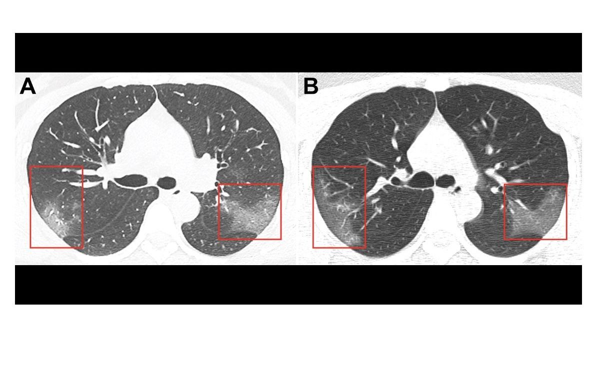
pulmones

Así lucen los pulmones de una paciente de coronavirus. Crédito: Radiology | Cortesía

Después de una exploración médica, y tras realizar una radiografía en los pulmones de una mujer joven, los doctores descubrieron que tenía neumonía por Covid-19. La mujer estaba aparentemente sana y no mostraba ningún síntoma del virus.

La mujer de 30 años y originaria de Irán estaba preocupada ya que uno de sus parientes se había contagiado y había muerto por ello. Fue al hospital y solicitó hacerse pruebas, informó ABC News.

Su tomografía computarizada reveló unos parches que se ven como vidrio esmerilado, o líquido en los espacios en los pulmones. Estos son indicios que se encuentran comúnmente en las radiografías de pacientes con casos graves.

Normalmente, a una persona no se le realizaría una exploración del tórax, como en el escenario, pero los médicos hicieron una excepción en su caso. Encontraron opacidad de vidrio esmerilado en sus pulmones, las marcas de la neumonía Covid-19.

El radiólogo radicado en Teherán, el Dr. Bahman Rasuli, compartió la exploración de la mujer de 30 años con el sitio web australiano Radiopaedia.org.

Los radiólogos ahora comparten la tomografía computarizada de la mujer, y las radiografías de cientos de otros pacientes, para comprender mejor los signos típicos del virus y analizar el daño que puede causar a los pulmones.

Según informa The Mirror, el radiólogo pediátrico Jeremy Jones, del Royal Hospital for Sick Children en Edimburgo, afirma que su equipo descubrió casos de coronavirus mientras escaneaba pacientes por otras razones.

“Tuvimos un par de casos en los que [los pacientes] presentaron dolor abdominal y se les realizó una tomografía computarizada de la barriga, pero en realidad, vimos en el fondo de sus pulmones que tenían los signos de Covid”, aclaró.

En un caso, un hombre de 44 años, que trabajaba en el mercado de mariscos de Wuhan donde se cree que se originó el virus, fue a un hospital después de sufrir fiebre alta y tos durante casi dos semanas el 25 de diciembre del año pasado.

Una tomografía computarizada del tórax mostró parches similares y las exploraciones tomadas más tarde mostraron cómo se habían extendido las opacidades.

El hombre fue diagnosticado con neumonía severa y síndrome de dificultad respiratoria aguda, pero murió una semana después.

Las tomografías computarizadas de una mujer de 54 años que dio positivo después de visitar Wuhan, donde comenzó el brote, mostraron manchas blancas en los pulmones. Estas anormalidades se vieron  más pronunciadas en exploraciones posteriores a medida que su condición empeoró.

La mujer ingresó en el hospital después de tener fiebre durante una semana, tos, fatiga y congestión en el pecho. Fue diagnosticada con neumonía grave por Covid-19 y tratada con oxígeno y antibióticos.

Un estudio reciente de más de 1,000 pacientes, publicado en Radiology, encontró que las tomografías computarizadas de tórax resultaron más efectivas que las pruebas de laboratorio para diagnosticar el coronavirus en una etapa temprana.

Tal y como informan los medios mencionados y con los datos analizados, los investigadores concluyeron que las tomografías computarizadas deberían ser el método de detección primario.

Contenido Patrocinado